El día que cambio mi vida – Negación
El ortopedista me hizo un estudio de reflejos y vio que no tenía respuesta en ambos brazos del antebrazo hacia abajo. Me dijo que era muy común cuando se presionan las cervicales de la C1 a la C4, y también el cansancio extremo, ya que la presión que generan los discos altera el sistema nervioso central— ¡Claro así era! Él validó mi diagnóstico—. Le dije que quería operarme cuanto antes, me pidió realizarme algunos estudios para saber exactamente dónde estaba el daño y proceder con la operación; él también estaba seguro de que la lesión provenía de las cervicales y que lo mejor era operarme.
El 31 de julio, con los rayos x, resonancias magnéticas y los papeles del seguro para ingresarlos inmediatamente, acudí por segunda ocasión; segura de mi diagnóstico, para mí todo se trataba de un trámite administrativo. De hecho, ya les había comentado a mi familia y a algunos amigos que me iban a operar de las cervicales.
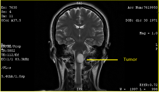
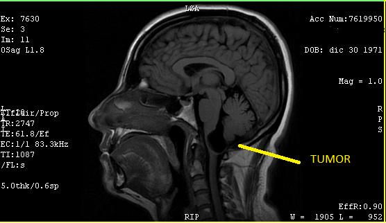
Mi mamá y yo estábamos sentadas de frente al doctor, al lado de la pantalla que usan para ver las placas. Al principio, checó las radiografías y me confirmó cuatro hernias: dos en cervicales y dos en lumbares. Posteriormente, colocó la resonancia magnética, se acercó a la pantalla unos segundos, como tratando de descifrar algo y sin voltear a verme y con la mirada fija en la pantalla, me dijo: "Me llama la atención el tumor que hay en esta área", y, apuntando con el dedo a la pantalla, señaló: "Mire, justo aquí, donde están las cervicales, muy cerca del cerebelo. ¿Ve esta masa blanca? Ese es un tumor que, por cierto, está grande. ¿Cuánto lleva con ese tumor?".

No pude ver ni entender lo que me estaba mostrando, esos estudios siempre me han parecido confusos: yo solo veo manchas blancas y negras, pero obvio él debía de estar en un error, con toda firmeza le dije: "¡No,doctor!, usted debe de estar equivocado, yo no tengo ningún tumor". Volteé a ver a mi mamá y estaba pálida; le repetí: "No, doctor, no entiendo lo que me está diciendo. Le repito: yo no tengo ningún tumor", pero a él pareció no importarle mi respuesta y sin quitar el dedo de la pantalla y viendo fijamente la mancha, dijo: "Le repito:¿ve esto blanco? Este es un tumor y está grande".

Movió su silla para tenerme de frente y, viéndome a los ojos, dijo asombrado:
—¿Cómo? ¿Usted no sabía que tenía un tumor en esa parte del cerebro?
—No, doctor.
—Bueno, pues entonces qué quiere que hagamos—, me preguntó.
—No sé, doctor, no sé qué debo hacer. ¿Cómo me pregunta eso! Ni siquiera sabía que tenía un tumor. Más bien usted dígame: ¿qué debo hacer?
Pero él seguía repitiendo lo mismo: "¿Qué quiere que hagamos?". Por eso odiaba a los doctores: de verdad, hay que ser idiota, cómo me pregunta qué debo hacer, ¿no se supone que él es el doctor! ¿Cómo quería que yo supiera qué hacer? Yo iba a operarme las cervicales, no a que me dijera que tenía un tumor en el cerebro.
En un momento de claridad de su parte y al verme abrumada, cambió su tono: "Bueno, mire, si quiere operamos las cervicales o las lumbares, como usted me diga, yo soy ortopedista, no neurocirujano. Sin embargo, yo creo que es más importante el cerebro que la columna y que debe ver de manera urgente a un neurocirujano, especialmente por la zona donde está alojado. ¿Conoce a alguno?".
—Por supuesto que no— respondí.
—Okey, le voy a recomendar uno que atiende en este mismo hospital; saque la cita urgente.
Todo pasó tan rápido que no tuve oportunidad ni de reaccionar, simplemente nos paramos y salimos del consultorio. Esperando el elevador, lo único que mi mamá dijo fue: "Vas a ver que todo va a estar bien", pero su rostro reflejaba preocupación. Era de esperarse si te dicen: "Tienes un tumor en el cerebro", lo primero que piensas es que te vas a morir o que vas a quedar en estado vegetativo o mal, las estadísticas desafortunadamente incluso hoy en día apuntan a ello. Una de las cirugías más riesgosas en la medicina moderna es la de cerebro; al final, es nuestro disco duro, lo que nos hace tener coherencia y acción, sin el cerebro solo somos un pedazo de carne, aunque todo lo demás funcione perfecto. Estaba en shock, me repetía una y otra vez: "Debe de haber algún error, yo no tengo ningún tumor".Parecía ser una muy mala broma que me estaba jugando la vida.
Dos días después, por recomendación y presión, conseguí una cita urgente con un neurocirujano del mismo hospital. Un hombre de mediana edad, de semblante relajado y afable pero de pocas palabras, me recibió y me preguntó cortante por qué había acudido con él. Le conté del ortopedista y le mostré los estudios. Lo confirmo y agregó: "Por la posición donde está alojado el tumor, junto al cerebelo, muy cerca del cuarto ventrículo, es peligroso ya que es de gran tamaño y está bloqueando el paso de líquido cefalorraquídeo a la columna". Obvio no entendí nada de lo que dijo en ese momento, sus palabras no tenían ningún significado para mí, pero por la expresión de su rostro entendí que era algo serio.
En el examen de exploración, además de validar la ausencia de reflejos en los brazos, notó que el ojo izquierdo tenía un desfase con respecto al derecho. "¿Desde cuándo se te queda pegado el ojo?", me preguntó. Yo iba de sorpresa en sorpresa: "Tampoco sabía que se me iba el ojo, doctor, nadie me había dicho nada", le respondí.
—¿Y no ves doble?
—¡No, doctor! Veo normal, si viera doble ya me hubiera vuelto loca.
—Bueno, mira no hay duda, hay que operar lo más pronto posible, necesito que te hagas una resonancia de cerebro únicamente para saber qué tipo de procedimiento voy a realizar, pero debes estar consciente de ello.
El doctor estaba sorprendido de que todavía fuera funcional, ya que para el tamaño y ubicación del tumor las personas al nivel que yo estaba ya no lo son y, además de los síntomas que yo tenía, pacientes similares experimentan vista doble, mareos severos, pérdida de equilibrio, dolores de cabeza intensos e incapacidad motriz.
Estaba en un estado de negación absoluta, trataba de asimilar lo que me acababa de decir, pero en mi mente no era yo, esos estudios debían pertenecer a alguien más. ¡Debe de haber un error! ¿Ciertamente yo estaba en un error, no fui capaz de percibir que algo estaba mal en mí cuerpo? Y el ojo, ¿cómo no me di cuenta? Ni nadie cercano a mí lo noto o no me dijeron nada; mi cuerpo llevaba más de un año dándome infinidad de señales de que algo estaba mal y yo las ignoré todas, porque las asocie con otras cosas! Supongo que en el fondo no quería parar mi vida y afrontar las consecuencias de que algo estaba mal, aunque irónicamente lo sabía.
El 13 de agosto de 2019, ya con la resonancia de cráneo y los papeles del seguro, acudí con el doctor. Después de verlos me confirmó: "Es un tumor (quiste) benigno con el que nació. Se desconoce por qué se forman, pero una teoría es que son residuos de placenta que se quedan cuando se forma el producto en el vientre. Eso no es un tema, mi principal preocupación es su ubicación y tamaño mide: 3.3cm x 2.1cm x 1.7cm y se comunica con el cuarto ventrículo, y está obstruyendo el paso de líquido cefalorraquídeo a la columna". Me advirtió: "Va a ser un procedimiento muy doloroso, así que debes de estar consciente de ello". Llenó los papeles del seguro con carácter de urgente, con el diagnóstico: Tumor de comportamiento incierto o desconocido en el encéfalo y del sistema nervioso central.

Le pregunte qué: ¿si era un quiste o un tumor?, porque me dijo que es un quiste, pero él en los papeles lo asentó como tumor, me dijo "ambos son correctos, ya que un tumor cerebral es una masa o un crecimiento de células anormales en el cerebro, y existen más de 250 tipos diferentes de tumores cerebrales. Algunos tumores cerebrales son no cancerosos (benignos) y otros, cancerosos (malignos)". Regresando al mío que afortunadamente era benigno, llamó mi atención la manera en que el doctor acercaba y alejaba la imagen en su monitor con el mouse, repitiendo: "Mire, mire, ¿ya vio? El tumor está muy grande, ¿ya lo vio? Mire, mire". Obvio yo no estaba viendo el monitor, lo veía a él y sus reacciones; me limité a contestar: "Sí, doctor, ya lo sé, ya lo vi", pero él seguía fascinado y no le importó mi respuesta, estaba absorto en la imagen e incluso me atrevería a decir que parecía emocionado, ya que no paraba de decir que la ubicación del tumor era algo inusual.

Después de un rato de jugar con el mouse volvió su atención a mí y tuvo esa conversación seria doctor-paciente, que supongo se tiene en estos casos: "Mira, al ser una operación de cerebro debes de estar consciente de los efectos secundarios que pudieras tener, eso no lo vamos a saber hasta después de un año o año y medio, que es lo que tarda el cerebro en desinflamarse completamente, pero debes entender que posterior a la cirugía, tu vida va a cambiar, aún no sabemos cuánto, pero de antemano le digo que ya NO podrás trabajar largas jornadas, ya que experimentarás profundos dolores de cabeza; NO podrás ingerir alcohol; NO podrás viajar hasta que yo le diga; NO podrás hacer ejercicio, y tendrás que modificar tus hábitos.Recuerda que es cerebro, no te vamos a sacar una muela. Si todo sale bien, podrías reincorporarte a tus actividades en mes y medio, y estarías únicamente siete días en el hospital".
—Doctor, ¿Y qué significa si todo sale bien?
—Eso, precisamente: si todo sale bien. Recuerda que no podemos saber cómo va a reaccionar tu cerebro.
Dicen que la desgracia de uno es el regocijo de otro, y para el doctor yo era un caso extremadamente raro, por lo que le significaba un gran reto. Es extraño decirlo pero, al ver su emoción, de alguna manera sabía que iba a estar bien y entendí la pasión que tenía por su profesión. Al despedirnos me estrechó fuertemente la mano y, con una sonrisa pícara, me dijo: "Va a ser un placer tenerte entre mis manos". Solo me reí y le dije: "Literalmente, doctor, literalmente me tendrá entre sus manos".
Los días previos a la operación cualquiera pensaría que pasé por infinidad de sentimientos como: tristeza, angustia, frustración, miedo o enojo, pero no fue así, supongo que seguía en un estado de negación. Mi único pensamiento fue: "¿Qué pasa si me muero?". Bueno, a diferencia de muchos que tienen un miedo irracional a la muerte, para mí no es así, en un punto creo que la muerte es una liberación, una transición. Mi única preocupación eran mis papás pero, fuera de eso, estaba preparada para todo y claro que me ayudó enormemente la bendita ignorancia: no tenía ni idea a lo que estaba a punto de enfrentarme, no entendía el verdadero significado de una cirugía de cerebro, y seguramente no hubiera existido una manera de prepararme para enfrentar lo que estaba a punto de vivir.
En su lugar concentré mi energía en organizar el negocio, ver quién se haría cargo durante mi ausencia de mes y medio; nunca había dejado de trabajar tanto tiempo en veinte años y esta no podía ser la excepción: necesitaba estar en control de todo, incluso horas antes de la operación estuve diciéndole a la gente lo que tenía que hacer.