Esta es mi realidad después de año - Desconcierto
Era julio y seguíamos en cuarentena, por lo que pasaba días en casa y sólo salía al supermercado o con mi mamá. Una familia con dos hijos pequeños, se mudaron enfrente de mi departamento y la señora se la pasaba cocinando todo el día y el olor de la comida se colaba por debajo de mi puerta. ¡No toleraba los olores de la comida!, así que ponía incienso ya que sentía que iba a vomitar en cualquier momento, las náuseas eran únicamente a los olores porque ya toleraba la comida.
Mi falta de equilibrio seguía igual, incluso sentía que me movía acostada y por las mañanas, movía involuntariamente la cabeza, había llegado al punto donde mi cuerpo no mejoraba más, podría decir que estaba a un 70% de lo que fui hasta hace dos años.
Había esperado pacientemente por la pandemia, pero quería saber si el quiste disminuyo, y el porqué de mi cansancio extremo. En casa me sentía relativamente bien, pero en cuanto salía a la calle por alguna razón, terminaba exhausta. Seguía igual con mis dolores en la parte de atrás del cráneo, el hipo, con frío todo el tiempo, con mi falta de equilibrio y después de unas horas de trabajo empezaba a ver borroso y me dolía el cráneo.
Afortunadamente accedió a verme, no sin antes hacerme el ultrasonido de rutina. Es curioso cómo un tema de salud cambia las prioridades en tu vida. Estaba súper emocionada de verlo, en este punto de mi vida no había nada que me hiciera más feliz, que tener la certeza de cerrar este capítulo en mi vida. Tristemente toda esa emoción cambio el 27 de julio. Cuando cruce la puerta de su consultorio, estaba serio y no me siguió el juego a nuestras habituales bromas, de hecho parecía desconcertado y a los pocos minutos descubrí "la razón".
En noviembre 2019 6.8 x 3.5 x 1.6 cm y 20 centímetros cúbicos.
En enero del 2020 5.5 x 2.4 x 1 cm y 7.6 centímetros cúbicos
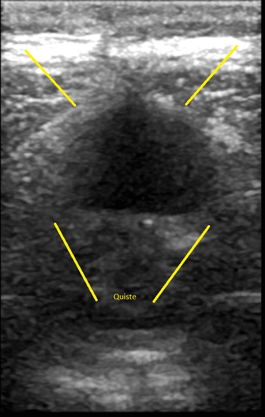
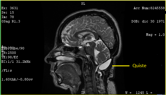
27 Julio 2020 4.1 x 3.0 x 1.6 cm y 11.04 centímetros cúbicos y un trayecto fistuloso de 0.7 cm.
Siguiendo la curva de disminución el quiste debió ser mínimo, pero aumento 4 centímetros cúbicos, no quiso ni abrir el sobre con los resultados, porque ya los había visto, se limito a decirme "Eso no puede ser posible, si fuera cierto no te sentirías ni te verías bien", "Seguramente quién lo realizó no lo comparó con los estudios previos o no supieron cómo hacerlo" "Doctor me lo hice aquí, no creo que se hayan equivocado" "¡Pues no!, yo no puedo tomar como válido este estudio así que necesito que te hagas una resonancia de cráneo"


"¿Qué va a pasar doctor?", "Bueno te vas a hacer el estudio, me traes el resultado y vamos a platicar" – El lo vamos a platicar ya no me gusto, ni su tono - así que de broma le dije "Doctor no me vaya a salir con un chistecito", a lo que rápidamente respondió "Mira se va a hacer lo que se tenga que hacer, una vez que tengas los estudios vamos a ver cuál es el siguiente paso, recuerda que todo proceso tiene una continuidad".
Le conté de la falta de equilibrio y náuseas a los olores de la comida, "Eso me parece muy raro porque lo detonan las medicinas, pero con la resonancia sabremos si hay algún detalle por ahí, que lo esté causando" "¿Doctor y puede ser que la falta de equilibrio sea permanente?" "Si puede ser" Y con respecto a la poca energía, los dolores en la nuca, la pesa que sientes pegada y el hipo se deben al proceso postquirúrgico y va a tomar más tiempo para que desaparezcan todos los malestares.
Al realizarme la exploración física notó que aún se quedaba pegado el ojo izquierdo, se desfasaba un poco al centro, por eso veo borroso y me mareo, la buena noticia era que ya podía usar lentes con graduación para ver de lejos y de cerca y ver si ayudaba.
Le comente que la aseguradora me pidió un status de mi caso, me dio el documento y lo guarde, no lo leí. En casa leí que presento secuelas "síndrome cerebeloso izquierdo"-, como no tuve oportunidad de preguntarle investigue a que se refiere:
La causa de este síndrome puede ser un tumor o una isquemia en un hemisferio cerebeloso. Están alterados los movimientos de las extremidades, especialmente de los brazos y piernas. Las lesiones del cerebelo no afectan tanto a la cantidad de movimiento pero sí a su calidad por lo que se manifiestan por:
- Resistencia disminuida a la palpación o manipulación pasiva de los músculos.
- Alteración del equilibrio y de la marcha: La alteración de la estática provoca inestabilidad en ortostatismo, por lo que el paciente debe ampliar su base de sustentación (separa los pies). La marcha es característica y parecida a la de un borracho (marcha de ebrio).
- Descoordinación de los movimientos voluntarios.
- Temblor intencional que es evidente cuando se hace un movimiento.
- Fatigabilidad, etcétera.
Dio total sentido a mi falta de equilibrio, mi deficiente coordinación y cansancio extremo, me sentía enojada, triste, frustrada y desconcertada realmente pensé que estaba a punto de darme de alta, y parecía que estaba lejos de terminar con todo, no eran buenas noticias, porque sabía que de alguna manera, el doctor tendría que encontrar la manera de sellar la fístula.
Ya llevaba tres resonancias así que estaba familiarizada con el proceso. Pero esta vez percibí sonidos más fuertes y después de un rato la cabina/tubo empezó a vibrar sutilmente, cosa que no había experimentado antes, -pensé que el aparato estaba fallando-. No me considero una persona claustrofóbica, pero viví minutos que me parecieron horas de angustia y desesperación, al grado de mover las manos y gritar esperando que alguien me escuchara, pero en ese momento y escuche la voz del técnico diciéndome que había terminado.
Al salir le comente qué su aparato estaba mal porque vibraba y los sonidos eran demasiado fuertes, y me contestó que el aparato estaba bien, que los cortes que pidió el doctor requerían esa vibración y sonidos. Cuando salí de lugar me temblaban las piernas y sentí que me iba a desmayar, solo después de varias horas mi cuerpo por fin dejó de temblar. ¡Nunca!¡Nunca en mi vida! había experimentado tanto estrés y angustia en un estudio.
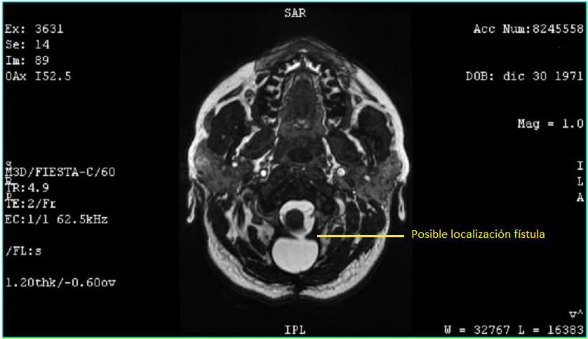
El 6 de agosto regresé con los resultados de la resonancia, análisis de sangre y orina, esta vez yo tuve los resultados primero, así que al verlo lo primero que dije fue "¿Qué pasa doctor que mi cuerpo sigue rechazando el parche?", la resonancia confirmó lo mismo el quiste media 4.2 x 1.7 x 2.9 cm y 10 centímetros cúbicos y la fistula 4.8 mm y el remanente del tumor es de 15.1 mm, en contraste con en el ultrasonido 4.1 x 3.0 x 1.6 cm y 11.04 centímetros cúbicos y la fistula 0.7 cm.




Afortunadamente el doctor estaba de mejor humor, porque mientras veía los resultados me contestó "Su cuerpo es muy chocosito que quiere, esto no tiene nada que ver con las cirugías, de eso está perfecta", me mostró que el remanente del tumor alojado en el tallo cerebral y cree que mi falta de equilibrio y náuseas tienen que ver más eso. El tallo cerebral regula las funciones vitales lo que significa que mi falta de equilibrio será permanente, de las náuseas no lo sabe.
"El quiste no ejerce ninguna presión en cerebelo o tallo cerebral, y el resto está perfecto no hay ningún daño" "Supongo que algo tiene que hacer con la fístula, no me puedo quedar así o sí?", "Bueno, no representa peligro alguno, ya que es la misma agua circulante, pero vas a regresar al medicamento que reduce el líquido del cerebro, usa la venda en las noches para hacer presión, evita cualquier esfuerzo o cargar cosas pesadas, porque solo generaría presión, en un mes vienes y vemos si se redujo el quiste y cerró la fístula y evaluamos si te ponemos una válvula".
Me lo imaginaba, la válvula era la tercera operación que se canceló en octubre del año pasado, en lo absoluto me agradaba la idea de tener que someterme a una tercera cirugía, pero si era necesaria para recuperar mi vida y retomar las cosas que amo lo haría sin duda, mi vida estaba limitada en muchos aspectos.
Los resultados de sangre mostraron que ya no estaba desnutrida, únicamente tenía la proteína baja porque seguía sin poder comer carne, y aún tenía la infección en las vías urinarias pero el doctor decidió darle prioridad al medicamento del cerebro para no saturar mi sistema.